International Journal of Cardiovascular Sciences. 23/Oct/2025;38:e20250060.
Transcatheter Correction of Aortic-Right Ventricular Shunt Following Aortic Valve Replacement: A Case Report
Abstract
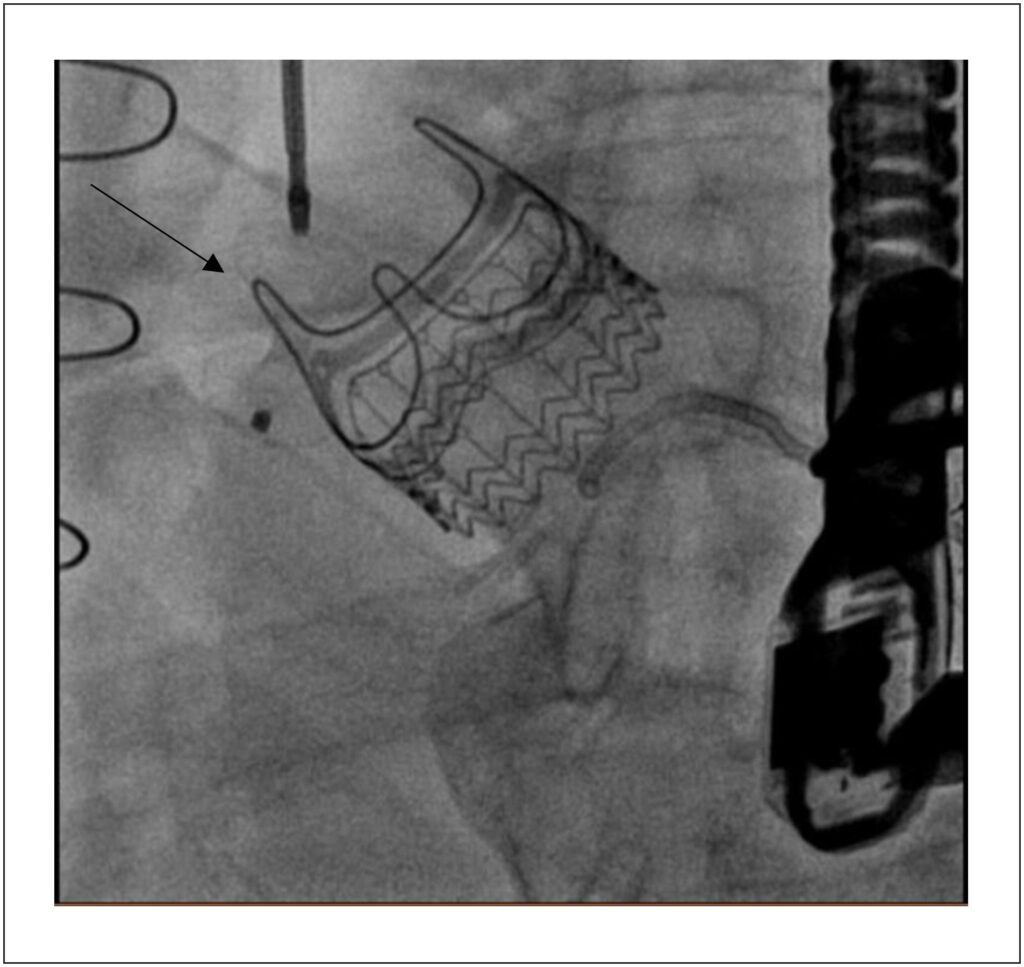
We describe the first case in the literature of transcatheter correction of aortic-right ventricular (Ao-RV) shunt after aortic valve replacement (AVR) with an Intuity® prosthesis (Edwards Lifesciences). A 79-year-old patient with a history of coronary artery bypass grafting and aortic regurgitation underwent AVR using a rapid-release 25-mm Intuity® prosthesis. After 45 days, he presented with severe heart failure, and an Ao-RV shunt was identified on transthoracic echocardiography. Given his history of previous cardiac surgeries, percutaneous correction was attempted. Initially, an attempt was made to catheterize the defect via the transapical approach, which was unsuccessful. The right femoral artery was punctured, and the shunt was catheterized via the aorta, with the implantation of a MemoPart ventricular septal defects (VSD) occluder, resulting in a significant reduction of the shunt. The patient was then transferred to the intensive care unit. However, there was no satisfactory clinical improvement, and transthoracic echocardiography revealed persistent Ao-RV shunt. Therefore, the surgical team opted for a new approach through the femoral artery and a second MemoPart VSD occluder was implanted. A transesophageal echocardiogram showed no leak, and the patient progressed satisfactorily and was discharged from the hospital. Shunts after AVR are rare. In these conditions, percutaneous management is a safe and feasible technical option. This is the first case reported in the literature of this type of complication after Intuity prosthesis implantation.
56

